Check-up Digital Preventivo

O exame de diagnóstico dental que vai além do alcance

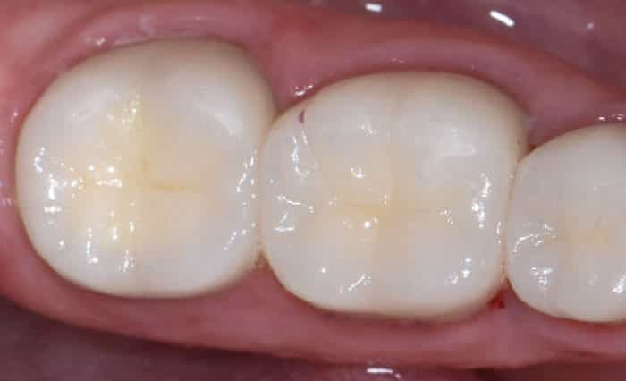
O tradicional 'espelhinho' é praticamente um item aposentado pelos dentistas dos consultórios modernos. Atualmente o exame de avaliação é obtido através de uma pequena câmera intraoral que transmite as imagens em tempo real para um monitor de TV em frente à poltrona do paciente.

Quais as vantagens do check-up digital dental?

  • É um exame preventivo minucioso que foi desenvolvido para facilitar a vida do paciente, pois pode prevenir por exemplo, uma cárie antes mesmo de estar visível aos nossos olhos.
  • O paciente visualiza juntamente com o dentista as imagens ampliadas em até 60X no monitor, favorecendo um diagnóstico claro e preciso.

Passe o mouse sobre a imagem do monitor e veja uma simulação da ampliação da imagem no check-up digital

check-up digital preventivo dental no bairro do limão e imirim
This is a demo image
Facebook da clinica odontológica no Imirim e bairro do limão instagram da clinica odontológica no Imirim e bairro do limão

Escreva-nos e entraremos em contato

Enviando formulário…

Ops! Preencha os campos corretamente.

Agradecemos sua mensagem!
Em breve entraremos em contato :)

dentista no bairro do limão e imirim clinica odontologica no bairro do limão e Imirim

Av. Deputado Emílio Carlos, 1769
Tel. 11 3966-3507 clinica odontológica no bairro do limão zona norte11 95328-3400

Av. imirim, 4278
Tel. 11 3982-5647 clinica odontologica no imirim são paulo sp11 95001-8330

Resp. Téc.: Dr Cristiano Aparecido Guidini
CRO 77.710 - CRO CL - 15.469

consultório dentista no Imirim e bairro do limão
Webdesigner do site: Fernando José Avelar

clinica odontologica no bairro do limão e Imirim

clinica odontológica no bairro do limão zona norte

clinica odontologica no imirim são paulo sp

consultório dentista no Imirim e bairro do limão
clinica odontologica no bairro do limão e Imirim instagram da clinica odontológica no Imirim e bairro do limão Facebook da clinica odontológica no Imirim e bairro do limão

check-up digital preventivo dental no bairro do limão e imirim
clinica odontologica no bairro do limão e Imirim

check-up digital preventivo dental no bairro do limão e imirim

clinica odontologica no bairro do limão e Imirim

clinica odontológica no bairro do limão zona norte

clinica odontologica no imirim são paulo sp

consultório dentista no Imirim e bairro do limão